Brücken

Eine Brücke ist ein Hilfsmittel

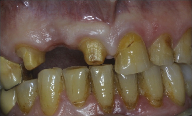
Eine Brücke dient dazu, fehlende Zähne zu ersetzen. Dazu müssen jedoch die lückenbegenzenden Zähne zwangsläufig beschliffen werden. Für Patienten klingt es allzu harmlos, wenn der Arzt sagt, "da machen wir eine Brücke und dazu müssen die beiden Nachbarzähne beschliffen werden".


Beschliffene Zähne = Verletzte Zähne


Wissenschaftliche Studien zur Überkronung

Wissenschafliche Langzeitstudien belegen, dass die Spätschäden nach dem Beschleifen von natürlichen Zähnen sich erst nach Jahren zeigen. Die häufigsten sind in der folgenden Tabell dargestellt.


Komplikationen nach 10 Jahren
Extraktion = einer der beschliffenen Zähne muß entfernt werden 3-5 %
Vitalitätsverlust = toter Zahn (der beschliffene Zahn ist durch das Schleiftrauma, also durch das beschleifen abgestorben) 10-15 %
Apicale Parodontitis = Entzündungen an der Wurzelspitze des überkronten Zahnes als Folge des Vitalitätsverlusts 5 %
Randkaries = Karies am Rand der Krone des beschiffenen Zahnes 10-15 %



Prinzip Brücke


(C) 2008 - Alle Rechte vorbehalten

Diese Seite drucken